Your donations in action: bringing contrast enhanced mammography to Royal Derby's Breast Unit
- Written by Anita Kincade
- Posted: 04 Feb 2026
- 2 min read
Thanks to generous fundraising and donations, our charity has helped bring Contrast Enhanced Spectral Mammography (CESM) to patients under the care of University Hospitals of Derby and Burton (UHDB).
A clearer picture for patients
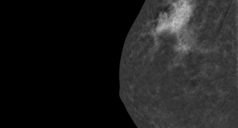
CESM is an advanced form of mammography that uses a safe dye injected into the bloodstream. This dye highlights areas of concern within the breast, giving clinicians a much clearer and more detailed image than a traditional mammogram.
We spoke with Radiographer, Nicole Calvert, in the Breast Unit, about how this new technology is transforming care.
“Sometimes it can be difficult to interpret a mammogram, especially in patients with dense breast tissue”, Nicole explains. “It’s a bit like looking for a cloud in a sky full of clouds. The contrast helps remove that ‘noise’ and shows us exactly what’s going on inside the breast.”
One of the biggest advantages of CESM is that it can be carried out during the patient’s breast clinic appointment and reviewed by a radiologist straight away. Before CESM was introduced, patients with unclear mammogram results often faced a longer wait for further tests, such as an MRI scan, to gather more information.
“MRI scans can be uncomfortable”, says Nicole. “Patients have to lie still on their front for a long time and there is usually a wait. For some people, such as those with pacemakers, MRI isn’t even an option, which meant they would sometimes need to undergo more invasive procedures instead.”
The benefits of CESM
The introduction of CESM offers many advantages for both patients and the Trust, including:
- Continuity of care – scans are carried out in the breast unit by familiar staff
- Improved patient comfort and reduced anxiety
- Shorter waiting times for results and follow-up care
- Reduced costs for the Trust, with fewer MRI scans needed
- Safe for patients with pacemakers
“It’s incredible to hear the difference CESM is already making for patients. Our charity exists to enhance patient care and it’s thanks to the generosity of our supporters that we can fund innovations like this.” Jill Matthews, Chief Officer, DBHC
A real difference for patients
Nicole recalls a case that shows just how life-changing this technology can be:
“A patient came to us with a lump in one breast. When we used CESM, we also spotted abnormality in the other breast. This enabled both breasts to be dealt with at the same time which would not have been possible otherwise.”
Thanks to your support
Bringing CESM to Royal Derby Hospital is a potentially life-saving advancement that could soon become standard in the future.
Breast Unit Consultant Shama Puri explains the impact CESM has had within the department so far: “CESM has enhanced patient care by providing us more accurate information and increasing the sensitivity for detecting breast cancers, especially in dense breasts. It is providing us with functional information similar to MRI but at lower cost and easy accessibility within the breast clinic leading to faster diagnosis and avoiding treatment delays. Thank you to Derby & Burton Hospitals Charity and their supporters for funding this technology.”